При ударе по задней части сустава или падении с большой высоты на согнутую в локте руку может произойти перелом локтевого отростка. В большинстве случаев такая травма сопровождается смещениями, наличием отломков, что требует оперативного лечения и длительной реабилитации. Если повреждение без осложнений, обходятся консервативной терапией и иммобилизацией.
Анатомические особенности перелома

Перелом отростка может быть изолированным, сочетаться с вывихом сустава или других костей предплечья, сдавливанием локтевого нерва. Чаще всего подобные повреждения наблюдают у людей в возрасте 20-40 лет. Дети до 10 лет практически не сталкиваются с такой травмой в силу анатомического развития костной и суставной системы.
Из всех переломов костей скелета повреждение отростка составляет 3,5%. По МКБ-10 имеет код S52.0.
Зачастую травма происходит при получении тупого удара, неудачном падении на область локтя, реже – из-за резкого сокращения плечевой трёхглавой мышцы.
Сталкивались с переломом лучевого отростка? Нет 15.38% Да 84.62% Неоднократно 0% Проголосовало: 26
Мнение врачей:
Признаки перелома руки в локтевой части могут быть различными, но врачи обращают внимание на несколько основных симптомов. Один из них – сильная боль при попытке сгибания или разгибания руки в локте. Также наличие отека, синяка и невозможность полноценного движения руки могут свидетельствовать о переломе. Важно обратить внимание на изменение формы или положения костей в области локтя. При подозрении на перелом необходимо обратиться к врачу для проведения диагностики и назначения соответствующего лечения.

Виды и классификация
Перелом может образоваться в верхней части, у основания и середины отростка. Характер повреждения бывает прямым, косым, поперечным, оскольчатым. В некоторых случаях наблюдаются переломы со сдавливанием, когда сжимается часть губчатой кости, которая составляет локтевой отросток. Возможен перелом со смещением локтевой кости и без него. Большинство таких травм относят к внутрисуставным.
В ортопедии выделяют следующие типы повреждений:
- Без смещения поперечные (1 тип): 1А – без осколков, 1В – с осколками.
- Со смещением поперечные (2 тип): 2А – без осколков, 2В – с осколками. При этом костные фрагменты смещаются максимум на 2-3 мм, а стабильность костей по отношению к плечу не нарушается, боковые суставные связки остаются нетронутыми.
- Нестабильные со смещением: 3А – без осколков, 3В – с осколками. Сочетаются с подвывихами, вывихами.
Различают простые и сложные переломы. Простые травмы характеризуются образованием двух костных фрагментов, сложные – нескольких. При этом осколки могут впиваться в кожу, сильно смещаться, травмировать нервнее окончания, мышцы, связки.
Основные признаки

- отёчность в зоне отростка;
- кровоизлияние под кожей у плеча или предплечья;
- болевой синдром при пальпации;
- онемение, покалывание в пальцах;
- нестабильность сустава;
- хруст при попытке движения рукой.
Иногда прощупывается расщелина между костными фрагментами в проблемном очаге. Если перелом открытый, отмечается рана на коже с выступающими костными отломками.
Опыт других людей
Признаки перелома руки в локтевой части могут быть определены несколькими способами. Люди, которые столкнулись с подобной травмой, обращают внимание на несколько характерных признаков. Один из них – это сильная боль в области локтя при движении или при пальпации. Также появляется отек и сильное онемение в руке. Важно обратить внимание на изменение формы или положения руки, которое может быть следствием перелома. Если есть подозрение на перелом, необходимо обратиться к врачу для проведения диагностики и назначения соответствующего лечения.
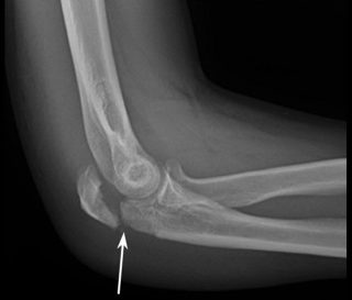
Диагностика перелома

Признаки перелома руки в зоне локтевой части напоминают вывих или сильный ушиб. Для чёткой постановки диагноза и определения типа повреждения обязательно проводят диагностику. Сначала врач осматривает травмированную поверхность на предмет ран и осколков, пальпирует её, определяя зону болезненности, проверяет пульс на запястье, чтобы выявить возможные нарушения кровоснабжения ладони и кисти.
В дальнейшем пострадавшего направляют на рентгенографию, чтобы визуализировать анатомические структуры, определить наличие или отсутствие отломков, смещений. Как правило, дополнительные обследования не нужны, однако для изучения состояния плотных тканей может потребоваться КТ, МРТ локтевого сустава. Если перелом сопровождается повреждением локтевого нерва, пациента консультирует невролог.
Правила первой помощи

- Поврежденную конечность фиксируют поддерживающей повязкой, надёжно закрепив руку к туловищу, чтобы обездвижить сустав и кисть. Важно придать руке такое положение, чтобы человек испытывал наименее выраженную боль и дискомфорт.
- Рану при открытом переломе обрабатывают антисептиком, но не трогают торчащие отломки.
- Если руку невозможно согнуть в локте, пациента укладывают на горизонтальную поверхность и фиксируют конечность к телу с помощью бинта, косынки, шарфа.
- Регулярно прощупывают пульс. При его отсутствии руку освобождают от повязки для нормализации кровоциркуляции, затем снова иммобилизуют.
- Доставляют пострадавшего в ближайшую больницу.
При сильной боли дают обезболивающее средство (Анальгин, Нимесил, Кетанов), прикладывают к травмированному месту холодный компресс во избежание сильного отёка.
Лечебные мероприятия

При травмах без смещения конечность иммобилизуют с помощью длинной гипсовой повязки. Локоть сгибают под углом 50-90 градусов, оставляя предплечье в нейтральном положении. Сзади повязку укрепляют и поддерживают воротником либо манжетой. Через 5-7 дней разрешают двигать пальцами после повторного рентгена. Через 6-8 недель кости полностью срастаются, однако повязку у взрослых и пожилых пациентов снимают по истечении 2-3 недель. После этого рекомендуют комплекс лечебной физкультуры. В первые дни применяют болеутоляющие системные средства или анальгезирующие блокады.
При стабильных переломах возможен ещё один способ лечения – накладывание задней лонгеты с согнутым локтевым суставом, снимают которую через 6 недель.
При поперечных переломахсо смещением проводится открытая или закрытая репозиция с фиксацией костных фрагментов болтами, винтами, шурупами, пластинами. В дальнейшем накладывается гипсовая лонгета, назначаются противовоспалительные и обезболивающие препараты, ЛФК, массаж, физиотерапия.
Реабилитация локтевого сустава требует специального подхода. Если иммобилизация длится дольше 4 недель, практически у всех взрослых людей развивается контрактура, из-за чего движения на всю жизнь ограничиваются.
Валерия Врач общего профиля Если перелом произошёл без многочисленных отломков, проводится классическая операция – остеосинтез (фиксация металлоконструкциями) локтевого отростка по Веберу. При этом используют две титановые спицы и проволоку. После операции человек может вернуться к нормальной жизни спустя 2-3 месяца, однако восстановление функций конечности занимает много времени, до полугода и больше.
Народные методы лечения
Чтобы перелом локтя быстрее зажил, в дополнение к консервативным способам терапии можно воспользоваться народными рецептами:
- Сварить вкрутую 3 куриные яйца, остудить. Очистить скорлупу, освободить её от плёнки. Измельчить скорлупу в порошок, залить соком 1 лимона, поставить в холод, пока она полностью не растворится. Принимать лекарство по 1 маленькой ложке 1-2 раза за сутки в течение 30 дней.
- 2 большие ложки цветков календулы запарить в 0,5 л кипятка. Дать постоять 1 час, процедить. Принимать по 1-3 стакана 4 раза за сутки. Настой уменьшает воспаление, ускоряет процесс восстановления повреждённых тканей.
- 1 большую ложку размельчённых плодов шиповника залить 0,5 л кипятка и настаивать 6 часов. Пить по 1 стакану 3-4 раза за сутки, добавив ложку мёда. Настой укрепит иммунитет, ускорит процесс заживления костей.
После снятия гипсовой повязки 1 большую ложку пихтовых веточек запарить в стакане кипятка и проварить на медленном пламени 10 минут. Остывший отвар пить вместо чая, а пихтовым маслом смазывать кожу вокруг перелома.
Способствует усвоению кальция репчатый лук, богатый природным алюминием. Взрослому рекомендуют съедать по 1 сырой луковице ежедневно (если нет проблем с пищеварительной системой). Также в рацион необходимо включить цельное коровье молоко, домашний творог и сыр, овощные соки.
Возможные осложнения
Если произошёл сложный перелом локтя, хирургического вмешательства избежать не получится. Пострадавшего предупреждают о возможных рисках и осложнениях, которые могут возникнуть в ходе лечения:
- инфицирование тканей;
- дискомфортные ощущения в зоне установленных металлических конструкций;
- повреждение нервных окончаний и кровеносных сосудов;
- медленное срастание или несращение костных фрагментов.
Причин развития осложнений может быть много. Основная – несоблюдение пациентом рекомендаций врача. Негативно повлиять на скорость восстановления способны сопутствующие заболевания (например, сахарный диабет, замедляющий срастание костных тканей), блуждающие инфекции в организме, открытые переломы, характеризующие медленным заживлением.
Даже при успешной операции иногда возникают осложнения, например, посттравматический остеоартрит. Развивается болезнь в короткие сроки либо через несколько лет после травмы сустава. Сопровождается болевым синдромом, ограничением подвижности в локте.
Период реабилитации
Вне зависимости от метода лечения реабилитация направлена на увеличение амплитуды движений в суставе, уменьшение скованности сустава, восстановление силы мышечно-связочного аппарата. В течение полугода травмированной конечностью запрещают поднимать тяжести либо выполнять тяжёлую работу.
Физиотерапевтические процедуры назначают уже через несколько дней после травмы. Магнитотерапия, электрофорез, ионофорез, УВЧ позволяют снять болевой синдром, снизить воспаление, ускорить регенерацию тканей, уменьшить отёчность. Массаж также входит в программу реабилитации. Его начинают делать в первые дни после травмы сначала у специалиста, а после – дома, самостоятельно.
Лечебная физкультура показана на 3 день после фиксации. Упражнения помогают нормализовать поступление питательных веществ и кислорода в ткани, предупредить атрофию мышц. При этом здоровую руку тренируют одновременно с больной, выполняя движения в полном объёме. В домашних условиях после снятия гипса пациент:
- сжимает/разжимает пальцы;
- катает резиновый мячик, камешки, шарики по поверхности стола;
- сжимает руки замком и поднимает их над головой;
- сидя за столом, выполняет потирающие/скользящие движения;
- занимается с лёгким весом (гирьки, гантели, палки с песком).
Валерия Врач общего профиля Интенсивность и количество движений наращивают постепенно, в зависимости от того, как быстро срастаются кости. Данный комплекс упражнений подходит не только при переломах, но и при растяжении связок. При появлении болевых ощущений занятие не прекращают, а только снижают ритм и сокращают количество повторений.
Специалисты дают благоприятный прогноз на выздоровление, однако во избежание подобных травм необходимо придерживаться профилактических рекомендаций: соблюдать технику безопасности и правила дорожного движения, стараться не ходить много в гололёд. Важно постоянно укреплять суставы, придерживаться правильного питания.
Частые вопросы
Как отличить ушиб от перелома в локте?
Как отличить ушиб от перелома Симптомы ушиба и закрытого перелома схожи между собой: сильная боль, отёк, ограничение подвижности. Но если в случае ушиба боль стихает за 2–3 часа, то при переломе она, напротив, может усиливаться.
Как понять есть ли трещина на локте?
Интенсивная боль в области локтевого сустава, усиление болевых ощущений при попытке сгибания-разгибания руки, вынужденное положение конечности – удерживание руки, согнутой в локте, отечность мягких тканей и синюшность кожи – эти признаки появляются через 2-3 часа после травмы.
Как понять перелом у тебя или нет?
К общим симптомам относят постоянную ноющую или тупую боль в месте перелома, усиливающуюся и принимающую характер резкой, пульсирующей при попытке наступить на ногу, ограничение подвижности конечности, припухлость, посинение кожных покровов, крепитация трущихся отломков кости и патологическая подвижность в месте
Можно ли при переломе руки шевелить пальцами?
На самом деле вы порой вполне можете двигать сломанной конечностью или пальцем, так что это нельзя рассматривать как проверку на перелом. Три главных симптома сломанной кости – боль, отек и деформация.
Полезные советы
СОВЕТ №1
При появлении сильной боли в локте после травмы, не откладывайте визит к врачу — даже если на первый взгляд ничего серьезного не кажется.
СОВЕТ №2
Обратите внимание на отек и синяки в области локтя — это может быть признаком перелома и требует консультации специалиста.
СОВЕТ №3
Избегайте самолечения и попыток устанавливать диагноз самостоятельно, доверьтесь профессионалам для точного определения состояния руки.
 
 
 
 
 
 
							
							
						 
							 
 
