Для трещины голеностопного сустава характерно нарушение целостности кости и соединительной ткани. Причинами могут быть как несчастные случаи, так и патологические процессы, состояния организма. Согласно МКБ, заболеванию присвоен код S90-S99, в эту категорию входят различные виды травм голеностопа и области стопы.
Причины патологии

Трещина в голеностопе, как правило, локализуется спереди или сзади. Именно в этих местах сосредоточена соединительная ткань суставов. Под воздействием внешних факторов ее целостность нарушается, что приводит к травмам.
Трещинам щиколотки или голеностопного сустава особенно подвержены профессиональные спортсмены. Особенно высок риск таких травм среди любителей спорта, связанного с прыжками, бегом (баскетбол, теннис, прыжки в длину).
Кроме того, к таким травмам предрасполагают:
- артроз голеностопного сустава. Характеризуется дегенеративными, дистрофическими процессами в тканях. Образуется вследствие поражения хрящей, кости. Заболевание, как правило, развивается постепенно и приводит к тяжелым последствиям.
- Врожденные патологии опорно-двигательного аппарата.
- Закрытый или открытый перелом голеностопного сустава.
- Нарушение метаболизма.
- Дефицит витаминов, особенно кальция.
- Переломы со смещением.
Мнение врачей:
Трещина голеностопного сустава – серьезное состояние, требующее внимательного и своевременного лечения. Врачи подчеркивают, что сроки заживления трещины зависят от ее размера, глубины и местоположения. Обычно лечение начинается с ношения специальной обуви или ортеза для уменьшения нагрузки на сустав. В случае небольших трещин применяют консервативные методы: физиотерапию, лечебный массаж, упражнения для укрепления мышц. Однако, в более сложных случаях может потребоваться хирургическое вмешательство, такое как артроскопия или остеотомия. Важно помнить, что самолечение и игнорирование проблемы могут привести к хроническому воспалению и ухудшению состояния сустава.
https://www.youtube.com/embed/aC_TDZ_owhg
Симптомы повреждения голеностопа

Симптомы трещины в голеностопном суставе заметны сразу, поскольку травмируются нервные окончания, иногда – мягкие ткани. Однако точно установить диагноз по симптомам невозможно, ведь при других травмах наблюдается схожая клиническая картина. Подтвердить диагноз может только врач, основываясь на результатах медицинского обследования.
Главные симптомы:
- Болевые ощущения, которые усиливаются при малейшей физической нагрузке.
- Отечность мягких тканей, на месте повреждения отмечается обширная припухлость.
- Развиваются гематомы, в районе щиколотки возникает синяк. Это следствие нарушения целостности кровеносных сосудов, мелких капилляров.
- Стопа и щиколотка приобретают красный оттенок, может отмечаться местное повышение температуры.
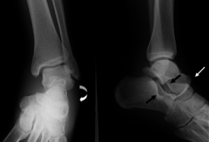
- Конечность приобретает неестественное положение, сустав часто выступает немного вперед. На снимке можно отчетливо увидеть трещину.
Первый признак трещины в голеностопе – боль – появляется мгновенно при травме или неловком движении. Если пострадавший жалуется на такие симптомы, необходимо как можно скорее посетить врача и пройти обследование.
Методы лечения

Лечить трещину в районе голеностопного сустава нужно своевременно, сразу после появления симптомов. Чем больше времени прошло с момента травмы, тем выше риск осложнений и дольше реабилитация. Случается, что трещина превращается в перелом, повреждая окружающие ткани.
Конечность нужно как можно скорее обездвижить. На ногу накладывают гипс, пострадавшему выписывают больничный лист и составляют программу лечения, которая включает:
- полный покой;
- здоровое питание;
- физкультуру;
- физиотерапевтические процедуры.
Если трещина голеностопного сустава сложная, имеет место смещение костей, прибегают к операции. Также врач подбирает комплекс препаратов, которые снимают боль, воспаление, ускоряют регенерацию.
Какой именно применять подход определяет врач, основываясь на истории болезни, возрасте больного, сопутствующих заболеваниях.

Опыт других людей
Трещина голеностопного сустава – это серьезное заболевание, о котором говорят многие. Люди, столкнувшиеся с этой проблемой, отмечают, что важно обратиться к врачу при первых признаках, чтобы избежать осложнений. Сроки лечения зависят от степени тяжести трещины, но в большинстве случаев требуется длительное и тщательное вмешательство специалистов. Методы лечения могут включать консервативные меры, такие как физиотерапия и реабилитация, или даже хирургическое вмешательство. Важно помнить, что своевременное и правильное лечение поможет избежать хронических проблем и вернуть полноценную активность.
Медикаментозная терапия

При поражении опорно-двигательного аппарата врач сталкивается с выраженной симптоматикой: гематомами, отечностью, болью, а иногда и кровотечением. Для устранения симптомов используют такие группы препаратов:
- Антикоагулянты. Предупреждают формирование тромбов, поскольку травма приводит к нарушению тока крови и она может сгущаться.
- Обезболивающие. Выпускаются в форме таблеток, мазей, при нестерпимой боли возможно инъекционное введение препарата. Они эффективно блокируют рецепторы и снимают болевой синдром.
- Противоотечные — помогают снять припухлость конечности. В результате нагрузка на сустав уменьшается, подавляется болезненность. Эффективны Фуросемид, Маннит и другие.
Все медикаментозные средства необходимо принимать по назначению врача. При соблюдении всех рекомендаций восстанавливается двигательная функция и происходит полноценное сращивание связочного аппарата.
Оперативное вмешательство

Чтобы сустав срастался правильно, ему нужно придать физиологичное положение. Для этого используют следующие хирургические методы:
- Артродез. Операция, в ходе которой фиксируется больной сустав. В зависимости от характера работы подразделяется на суставную и внутрисуставную. В ходе операции используют специальные крепления, пластины, ими ноге придают нужное положение и сустав хорошо заживает.
- Применение компрессионных гвоздей и стяжечных болтов. Такие инструменты помогают уменьшить расстояние между пораженными участками голеностопного сустава.
- Тендопластика. Пересадка сухожилий бедра в область голеностопа. Реабилитация после операции проходит довольно быстро и больной через 2-3 недели возвращается к обычной жизни.
Перед операцией пациент проходит полноценное обследование, для такого вмешательства есть серьезные противопоказания.
Для ускоренного восстановления функций конечности, пациенту рекомендуют физиотерапию, диету, лечебную гимнастику. Ходить разрешается после 1-2 недели, в зависимости от тяжести состояния. Рекомендуют плавание и бинтование ноги в первое время после гипсовой повязки.
Частые вопросы
Сколько по времени заживает трещина в голеностопе?
В среднем перелом без смещения заживает за 2, 5 месяца. При смещении потребуется полгода на восстановление. Разрабатывать ногу без костылей можно начинать через 3 месяца после перелома. Вопрос о возврате к привычному образу жизни решается индивидуально.
Как долго восстанавливается голеностопный сустав?
Быстро вылечить растяжение связок не удастся, полное восстановление займет не менее 8 — 9 недель. В случае разрыва связок реабилитация продлится около полугода.
Как ускорить заживление голеностопного сустава?
Врачи рекомендуют обильное прикладывание льда, компрессию и постоянное возвышение, чтобы ускорить заживление и уменьшить воспаление. Опора для лодыжки Empowerband Football – это инструмент, который можно использовать по мере продолжения вашего выздоровления.
- Нет. Первое время не стоит наступать полным весом на ногу, можно лишь слегка опереться на пятку. Ходьба повлечет за собой новые травмы и возможно сместит кость, что потом можно будет исправить только хирургически.
Полезные советы
СОВЕТ №1
При появлении боли в области голеностопного сустава обратитесь к врачу для проведения диагностики и установления точного диагноза.
СОВЕТ №2
Следуйте рекомендациям врача относительно сроков и методов лечения трещины голеностопного сустава, чтобы избежать осложнений и ускорить процесс выздоровления.
СОВЕТ №3
При лечении трещины голеностопного сустава придерживайтесь рекомендаций по режиму нагрузок на сустав, чтобы избежать повторного повреждения и ускорить процесс заживления.